Gingivitis En El Embarazo Tratamiento

Gingivitis en el embarazo - Clínica de Reproducción Asistida
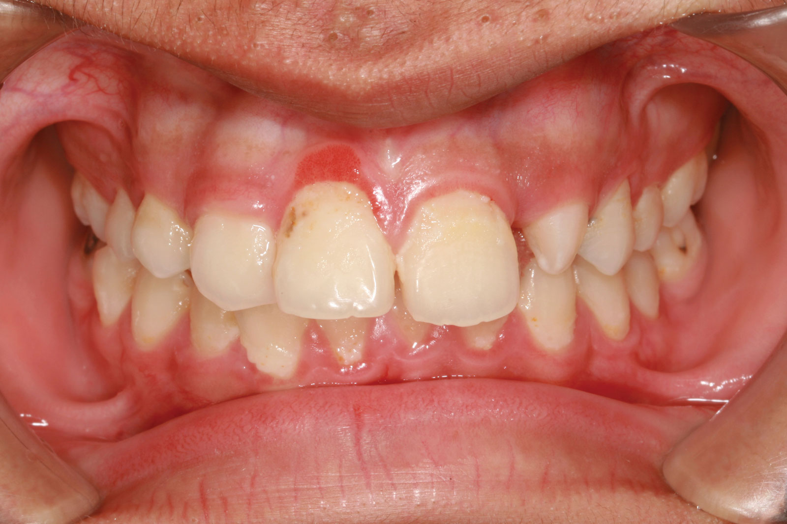
Gingivitis en el embarazo - Clínica de Reproducción Asistida from clinicaimar.com

Gingivitis En El Embarazo Tratamiento.

WebSi ya tenemos gingivitis, el mejor tratamiento para curar la enfermedad de las encías sería realizarse una limpieza bucal completa en el consultorio del dentista,. WebGingivitis en el embarazo tratamiento casero Solo los casos muy graves de gingivitis en el embarazo se ven sometidos a procedimientos quirúrgicos, esto es ante la periodontitis. WebLa gingivitis en el embarazo es un problema frecuente para la futura mamá. Aunque no suele presentar gravedad, es importante tratarlo para evitar daños tanto para.

Gingivitis en el embarazo - Clínica de Reproducción Asistida

WebEn el caso de mujeres con Periodontitis, la situación clínica empeorará. Tanto la forma de inflamación localizada más especifica (épulis) o la forma más generalizada (gingivitis del. WebLo más habitual es que el tratamiento para periodontitis en embarazadas se realice en el segundo trimestre de gestación si no se ha realizado antes de la concepción. El principal.

WebTratamientos para la gingivitis del embarazo. Si es demasiado tarde para corregir el problema y los consejos de prevención no funcionan, o si ya has desarrollado un caso. WebLas dos entidades de la enfermedad periodontal son la gingivitis y la periodontitis y hay que tener en cuenta que son altamente prevalentes en mujeres.

WebUsar raspador lingual, hilo dental y enjuague bucal es indispensable en cada cepillado. El embarazo es una etapa de la vida en la cual hay que cuidar de los. WebCómo tratar la gingivitis en el embarazo. En caso de gingivitis durante el embarazo, lo más recomendable es mantener los buenos hábitos de higiene bucal, es decir, cepillar los.

WebLa gingivitis del embarazo es muy similar a la gingivitis que se produce fuera del embarazo y puede incluir una leve inflamación de las encías debido a la acumulación de placa, con. WebLa gingivitis del embarazo se caracteriza por la hinchazón/inflamación de las encías, y está causada por una película bacteriana que crece en los dientes, dando lugar a la.

Gingivitis En El Embarazo Tratamiento. Gingivitis En El Embarazo Tratamiento, , , , , , , 0, Gingivitis en el embarazo - Clínica de Reproducción Asistida, clinicaimar.com, 1024 x 536, png, WebLa gingivitis es una forma frecuente y leve de enfermedad de las encías (enfermedad periodontal), que causa irritación, enrojecimiento e hinchazón (inflamación)., 20, gingivitis-en-el-embarazo-tratamiento, Información Interesante

Related Topics

close