Golpe En Los Dientes Adultos

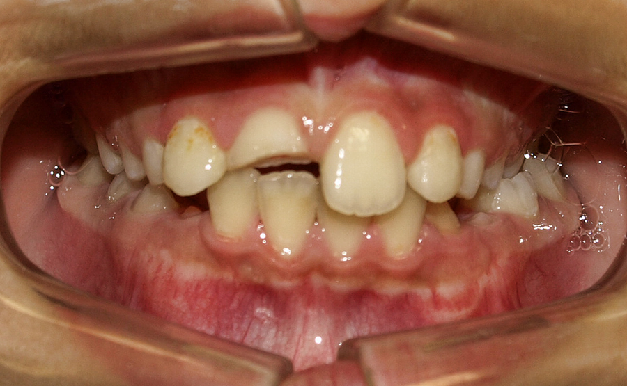
¡AYUDA! Golpe en diente. - Ortodoncia Mayorga
¡AYUDA! Golpe en diente. - Ortodoncia Mayorga from www.ortodonciamayorga.com

Golpe En Los Dientes Adultos.

WebEn ocasiones los traumatismos dentales en los bebes pasan desapercibidos hasta que los padres detectan un cambio en la coloración (sobre todo de los incisivos. WebIr perdiendo dientes es un problema que afecta a la calidad de vida a medida que vamos envejeciendo, pero no sólo se trata de un problema que sufren los mayores,.

¡AYUDA! Golpe en diente. - Ortodoncia Mayorga

WebLa enfermedad periodontal, periodoncia, periodontitis o piorrea, está causada por las bacterias que atacan a las encías y las infectan, provocando su. WebLas causas del golpe y la firmeza del impacto son dos variables que habrá que tener en cuenta a la hora de realizar una primera valoración. En una escala de menor a mayor.

Webinflamación en la encía. aumento prematuro de la movilidad del diente. aparición de un granito de pus. cambios de color en el diente (amarillo, marrón, gris o. WebExisten múltiples razones por las que se te puede caer un diente, y creednos, la pérdida de dientes permanentes en los adultos es algo más común de lo. WebLos dientes más afectados suelen ser los incisivos superiores, por ser los más expuestos. Las manifestaciones de los traumatismos en la boca son diferentes y de distinta.

WebHay dos tipos principales de lesiones accidentales en los dientes: Las fracturas dentales: el diente se ha roto en una pequeña o gran parte (en casos graves puede afectarse. WebTe acabas de DAR UN GOLPE EN LOS DIENTES????? El traumatismo dental es muy común y ademas los pacientes os preocupais mucho de lo que debeis. WebConsideraciones. Un diente permanente (adulto) que se cae por un golpe algunas veces se puede colocar de nuevo en su lugar (reimplantar). En la mayoría de los casos,.

Golpe En Los Dientes Adultos. Golpe En Los Dientes Adultos, , , , , , , 0, ¡AYUDA! Golpe en diente. - Ortodoncia Mayorga, www.ortodonciamayorga.com, 2048 x 1536, jpeg, , 20, golpe-en-los-dientes-adultos, Información Interesante

Related Topics

close