Manchas Blancas Dientes Niños 7 Años

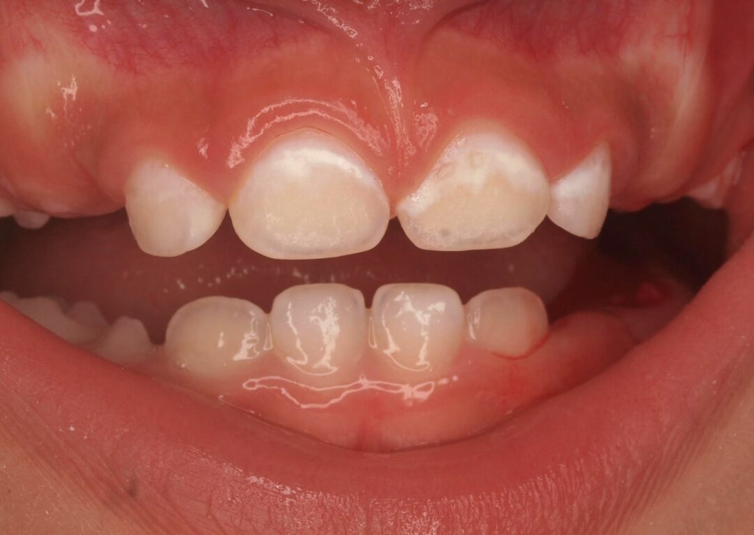
Manchas blancas en los dientes de nuestros pequeños. ¿A qué se debe
Manchas blancas en los dientes de nuestros pequeños. ¿A qué se debe from clivadentkids.es

Manchas Blancas Dientes Niños 7 Años.

WebLos dientes definitivos de los niños pueden teñirse. De repente pueden aparecer manchas amarillas, blancas, naranjas e incluso marrones. Podemos creer que, por limpiar los.

Manchas blancas en los dientes de nuestros pequeños. ¿A qué se debe

WebHipoplasia: la falta de mineralización del esmalte puede provocar también la aparición de manchas blancas en los dientes en niños. Medicamentos: otra de las causas es la. WebLas causas de las manchas blancas en la piel de los niños más frecuentes son: Dermatitis atópica : aparece en forma de erupción, en la cual una pequeña zona de.

WebDientes con manchas blancas Pueden deberse a muchos motivos: un problema durante la formación de las capas del diente (hipoplasia del esmalte), la descalcificación del. WebBlanco: Las manchas de color blanco pueden provenir por diversos motivos, pero los más frecuentes son: Fluorosis: Esto es debido a la utilización excesiva de pastas de dientes.

WebPor qué salen manchas blancas en los dientes. Las manchas blancas en los dientes son normalmente producto de una descalcificación del esmalte dental durante la. WebA pesar de ello, no todas las manchas blancas son síntoma de caries ni entrañan riesgo. También pueden aparecer por alteraciones sin importancia en el desarrollo de los.

WebExisten varias causas posibles para las manchas blancas en los dientes, que incluyen una dieta alta en ácidos y azúcares, consumo excesivo de fluoruro, mal. Web1. Blanqueamiento dental: Un blanqueamiento dental profesional puede ser efectivo para reducir las manchas blancas causadas por la fluorosis en los dientes. 2.. WebLas manchas en los dientes de bebés y niños pequeños pueden adquirir diferentes tonalidades. Desde la aparición de manchas blancas en dientes de leche,.

Manchas Blancas Dientes Niños 7 Años. Manchas Blancas Dientes Niños 7 Años, , , , , , , 0, Manchas blancas en los dientes de nuestros pequeños. ¿A qué se debe, clivadentkids.es, 812 x 684, png, WebLas manchas blancas en los dientes alrededor de la línea de las encías pueden ser un signo temprano de caries en los niños. Si observa que las manchas se vuelven., 20, manchas-blancas-dientes-ninos-7-anos, Información Interesante

Related Topics

close