Manchas Blancas En Los Dientes Niños

Manchas blancas en los dientes de nuestros pequeños. ¿A qué se debe
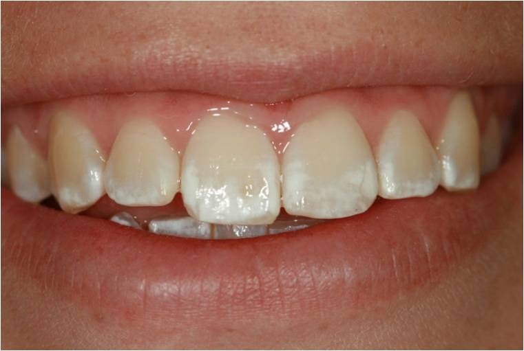
Manchas blancas en los dientes de nuestros pequeños. ¿A qué se debe from clivadentkids.es

Manchas Blancas En Los Dientes Niños. WebLas manchas blancas suelen ser uno de los primeros síntomas de las caries en niños. Estas manchas tienden a aparecer a lo largo del borde de las encías y suelen ser de un color.

WebSon manchas completamente blancas y no son escamosas. Es una de las causas de manchas blancas en los niños más conocida, sus causas no son bien conocidas y no.

Manchas blancas en los dientes de nuestros pequeños. ¿A qué se debe

WebA pesar de ello, no todas las manchas blancas son síntoma de caries ni entrañan riesgo. También pueden aparecer por alteraciones sin importancia en el desarrollo de los. WebEl primer síntoma de las caries en los niños son las manchas blancas, con un color parecido al de la cal y que suelen aparecer en la parte frontal de la pieza dental.

WebPara evitar las manchas blancas producidas por exceso de flúor en los niños, es importante que utilicen una pasta de dientes adecuada para cada edad. En adultos es aconsejable. WebLas manchas en los dientes de bebés y niños pequeños pueden adquirir diferentes tonalidades. Desde la aparición de manchas blancas en dientes de leche,. WebHipoplasia: la falta de mineralización del esmalte puede provocar también la aparición de manchas blancas en los dientes en niños. Medicamentos: otra de las causas es la.

WebComo hemos dicho en el punto anterior, las manchas blancas en los dientes de los niños pueden deberse a el exceso de fluoruro. Cuando este es el motivo,. WebLa aparición de manchas blancas en el esmalte de los dientes definitivos se debe a muchas causas, entre ellas un mal cepillado dental o un exceso de flúor WSL.

WebExisten varios tratamientos posibles para las manchas blancas en los dientes. La idoneidad de estos tratamientos puede depender de la causa subyacente de. WebEncías blancas: tratamientos caseros para prevenirlas. El primer paso para tratar las manchas en las encías es determinar la causa, y con base en esta.

Manchas Blancas En Los Dientes Niños. Manchas Blancas En Los Dientes Niños, , , , , , , 0, Manchas blancas en los dientes de nuestros pequeños. ¿A qué se debe, clivadentkids.es, 812 x 684, png, WebLas manchas blancas suelen ser uno de los primeros síntomas de las caries en niños. Estas manchas tienden a aparecer a lo largo del borde de las encías y suelen ser de un color. WebMezclar con frecuencia leche de fórmula concentrada, ya sea líquida o en polvo, con agua fluorada podría aumentar el riesgo de que a tu hijo le aparezcan líneas., 20, manchas-blancas-en-los-dientes-ninos, Información Interesante

Related Topics

close