Perdida De Encia En Un Diente

Pérdida de encía: Causas y Tratamiento - Clínica Larrañaga
Pérdida de encía: Causas y Tratamiento - Clínica Larrañaga from www.clinicadentallarranaga.com

Perdida De Encia En Un Diente. WebLa periodontitis, también llamada enfermedad de las encías, es una grave infección de las encías que daña el tejido blando y que, sin tratamiento, puede destruir el hueso que sostiene los dientes. La periodontitis puede hacer que los dientes se aflojen o que se pierdan. La periodontitis es frecuente, pero puede prevenirse en ... WebLas encías retraídas van generalmente acompañadas de inflamación y sangrado. Como la raíz del diente queda expuesta, aumenta también el riesgo de caries. Dependiendo de lo grave que sea, la recesión gingival, puede ser reversible o no. En los.

WebCómo administrar primeros auxilios en caso de pérdida de dientes. Escrito por el personal de Mayo Clinic. Algunas veces, es posible implantar satisfactoriamente dientes permanentes que se cayeron, pero solo si sigues estas medidas de inmediato antes de consultar al dentista. WebLa periodontitis es una enfermedad inflamatoria que afecta a los tejidos que hay alrededor del diente (y que reciben el nombre de periodonto). Si no se diagnostica y se trata a. WebCUIDADOS POSTEXTRACIÓN DENTAL. Son los mismos que en una extracción convencional, no hay reacción diferente y la recuperación transcurre en el mismo tiempo.

Pérdida de encía: Causas y Tratamiento - Clínica Larrañaga

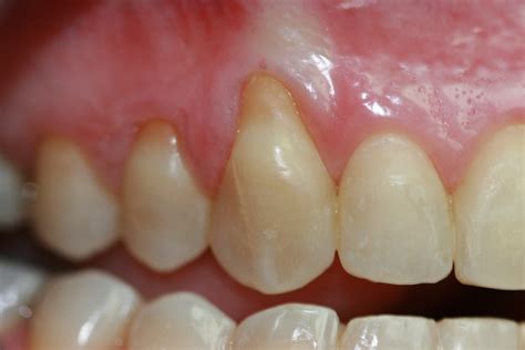
WebLa retracción de encías o pérdida de encía consiste en un desplazamiento de la encía que rodea al diente y provoca que nos veamos el diente más largo. El riesgo de esto es.

WebEsta patología dental es más habitual de lo que se piensa. Sus causas son variadas, si bien existe un alto porcentaje de casos se debe a una enfermedad periodontal. La. WebDe acuerdo con la Organización Mundial de la Salud (OMS), las enfermedades bucodentales más frecuentes son la caries dental, la periodontitis grave,.

WebConsecuencias de la pérdida de un diente. 1. Problemas de masticación y desgaste de las piezas dentales. Cuando masticamos, al quedar un zona hueca debido. WebDe esta manera alineamos correctamente los dientes, corregimos maloclusiones e impedimos que las encías vuelvan a retraerse. Tratamiento que combina la ortodoncia para la alineación de los dientes, la cirugía mucogingival para la nivelación los márgenes de las encías, y la colocación de implantes dentales. En otros casos, que. WebUna consulta habitual en la clínica dental es la pérdida de encía o la retracción de encía. En ocasiones el paciente observa que la encía ha ido.

WebOtra causa frecuente, de encía inflamada en un diente, son los abscesos dentales. Esto generalmente se debe a la presencia de una caries avanzada o de una enfermedad. WebLa pérdida de encía es un problema bucodental muy común (también conocido como retracción de encías o recesión gingival). Este retroceso puede afectar a uno o varios.

Perdida De Encia En Un Diente. Perdida De Encia En Un Diente, , , , , , , 0, Pérdida de encía: Causas y Tratamiento - Clínica Larrañaga, www.clinicadentallarranaga.com, 1080 x 675, jpeg, WebLa periodontitis, también llamada enfermedad de las encías, es una grave infección de las encías que daña el tejido blando y que, sin tratamiento, puede destruir el hueso que sostiene los dientes. La periodontitis puede hacer que los dientes se aflojen o que se pierdan. La periodontitis es frecuente, pero puede prevenirse en ... WebLas encías retraídas van generalmente acompañadas de inflamación y sangrado. Como la raíz del diente queda expuesta, aumenta también el riesgo de caries. Dependiendo de lo grave que sea, la recesión gingival, puede ser reversible o no. En los. WebLa especialista en prostodoncia Fabiola Ortiz Cruz advierte la necesidad de divulgar que las personas con diabetes tipo 2 tienen alto riesgo de padecer periodontitis,., 20, perdida-de-encia-en-un-diente, Información Interesante

Related Topics

close