Periodontitis Avanzada Antes Y Después

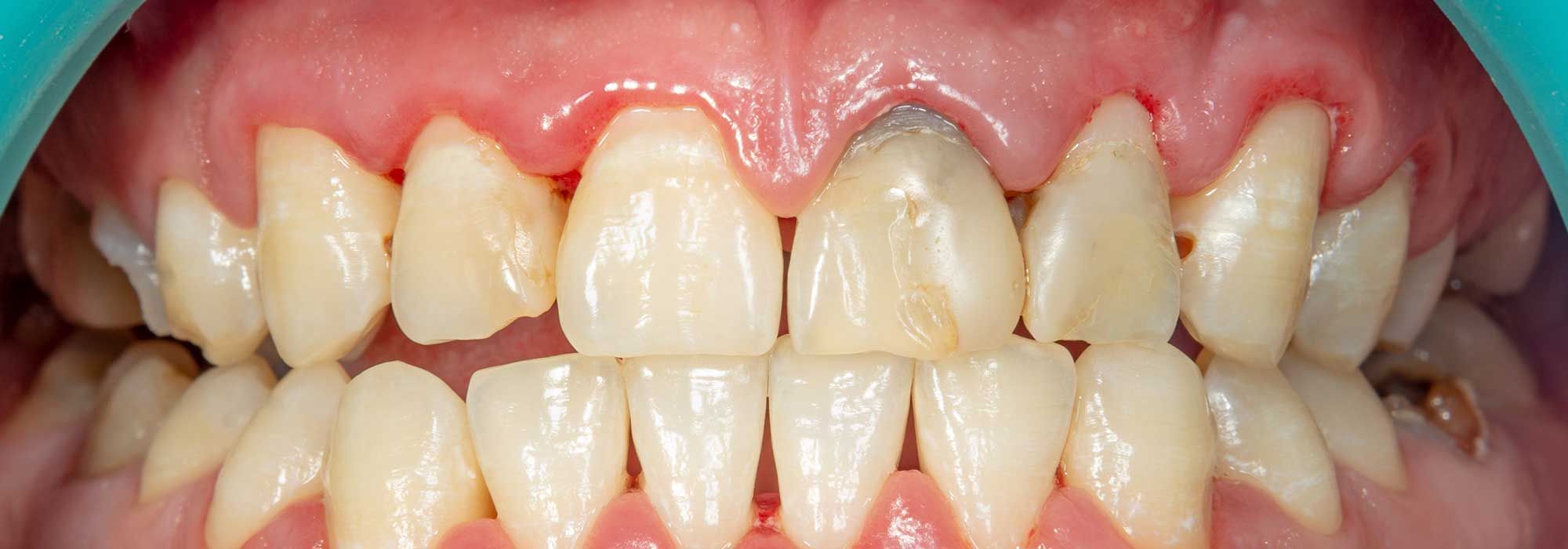
Periodontitis en fase avanzada solucionado con implantes - Clínica Peydro
Periodontitis en fase avanzada solucionado con implantes - Clínica Peydro from www.clinicapeydro.es

Periodontitis Avanzada Antes Y Después. WebLa periodontitis avanzada tiene solución si se trata a tiempo por el periodoncista. La periodontitis avanzada o piorrea es el último estado de la. WebLa periodontitis o “piorrea”, una enfermedad indolora y grave de las encías, siendo una de las causas más frecuentes de pérdida dental a partir de los 45 años y generando.

WebGINGIVITIS: Antes y después. Mientras más tiempo permanezcan la placa y el sarro sobre los dientes, más daño pueden hacer. Las bacterias causan una inflamación de las.

Periodontitis en fase avanzada solucionado con implantes - Clínica Peydro

WebPara determinar si tienes periodontitis y cuán grave es, el dentista puede hacer lo siguiente: Revisar tus antecedentes médicos para identificar cualquier factor. WebLa periodontitis y la paradontosis son enfermedades periodontales que afectan los ligamentos del periodonto. Debido a la destrucción del mismo componente, a menudo se. WebAntes y después de una periodontitis avanzada. La periodontitis es una enfermedad que consiste en una infección grave de las encías. Cuando la periodontitis es avanzada, el.

WebEl plan de tratamiento periodontal y periimplantario se inicia con la fase etiológica para conseguir detener el proceso de la enfermedad controlando el biofilm oral patogénico,. WebAl ser la etapa más grave de la enfermedad, es necesario recurrir a una cirugía. Si padeces de periodontitis avanzada, lo primero en estos casos es no estresarse y asistir lo antes. WebLa periodontitis es un tipo de enfermedad periodontal. Es una infección que daña los tejidos de soporte del diente, encías y hueso, causada por las bacterias que atacan las.

WebLa periodontitis, también llamada enfermedad de las encías, es una grave infección de las encías que daña el tejido blando y que, sin tratamiento, puede destruir el. WebLa periodontitis -también llamada piorrea- forma parte de las llamadas enfermedades periodontales, unas patologías que afectan a las encías. Más. WebCaso de una altísima complejidad. Paciente que acude a nuestra Clínica Dental Ruiz de Gopegui con una enfermedad periodontal avanzada no tratada. La enfermedad.

Periodontitis Avanzada Antes Y Después. Periodontitis Avanzada Antes Y Después, , , , , , , 0, Periodontitis en fase avanzada solucionado con implantes - Clínica Peydro, www.clinicapeydro.es, 626 x 550, jpeg, WebLa periodontitis avanzada tiene solución si se trata a tiempo por el periodoncista. La periodontitis avanzada o piorrea es el último estado de la. WebLa periodontitis o “piorrea”, una enfermedad indolora y grave de las encías, siendo una de las causas más frecuentes de pérdida dental a partir de los 45 años y generando. WebEl tratamiento quirúrgico de la periodontitis avanzada. En Clínica dental en Barcelona, Badalona y Madrid de Propdental contamos con periodoncistas para poder., 20, periodontitis-avanzada-antes-y-despues, Información Interesante

Related Topics

close