Rx Oblicua De Columna Lumbar

Rx oblicua de columna lumbar con pinzamiento y degeneración de las
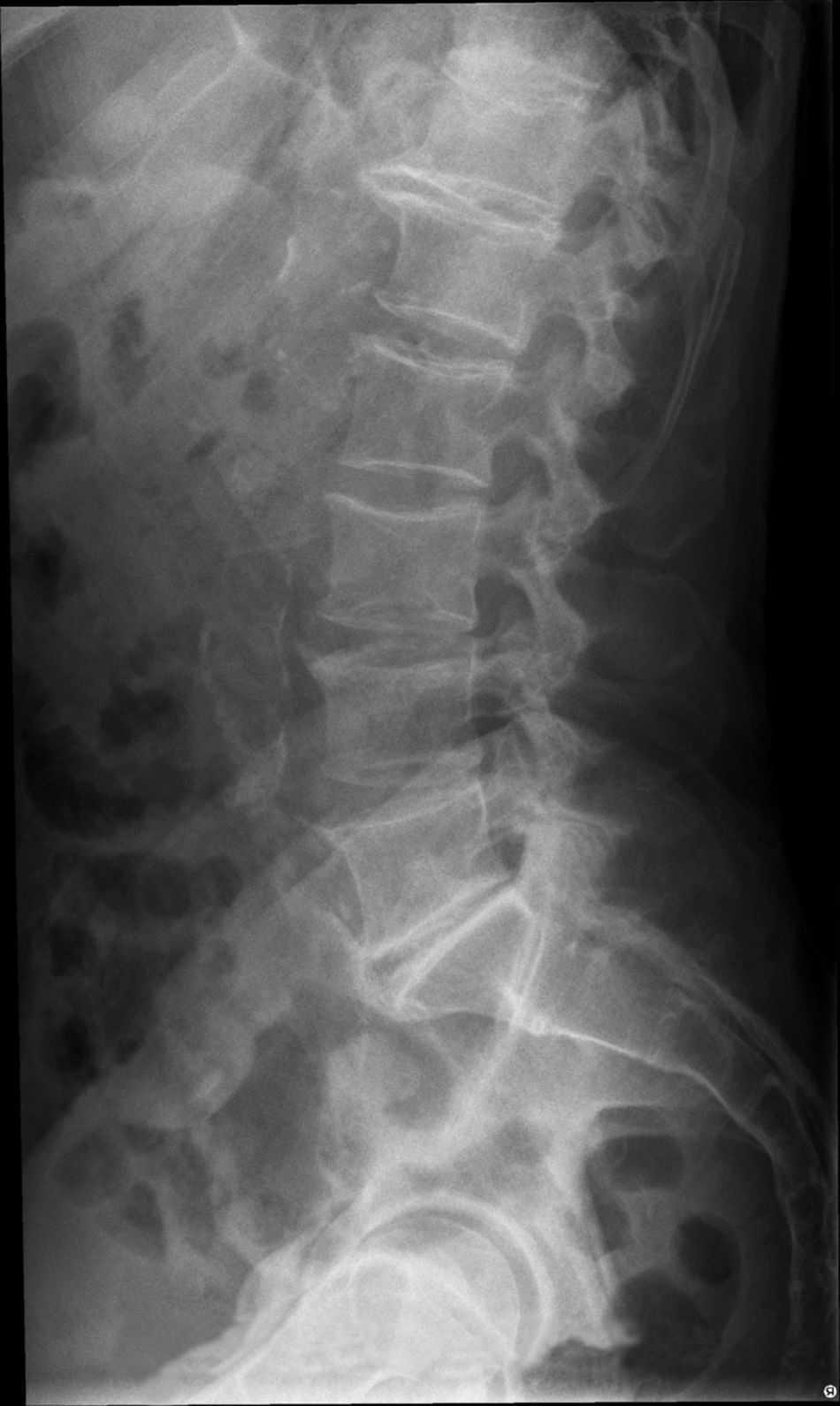
Rx oblicua de columna lumbar con pinzamiento y degeneración de las from www.researchgate.net

Rx Oblicua De Columna Lumbar. Webcomo estudiante mostrar el posicionamiento de Rx columna lumbar WebUna radiografía de la columna lumbosacra es una imagen de los pequeños huesos (vértebras) en la parte baja de la columna. Esta zona incluye la región lumbar y el.

WebRadiografías de la columna vertebral. Este módulo de radioanatomía de la columna vertebral presenta 18 radiografías convencionales de la espina dorsal con. WebDescripción Se encarga de valorar la columna lumbar en seis posiciones distintas con el fin de encontrar cualquier tipo de lesión o problema en ella Requerimiento No requiere.

Rx oblicua de columna lumbar con pinzamiento y degeneración de las

WebDescubre qué es una radiografía en la zona lumbosacra de la columna, así como el proceso que realizan los especialistas para este estudio y en qué circunstancias.

Web- Rx coumna cervical oblicua - Rx columna torácica anteropost. - Rx columna torácica lateral - Rx columna lumbar anteropost. - Rx columna lumbar lateral - Rx columna lumbar.

WebProyecciones oblicuas para los agujeros de conjunción (toda la columna) En la proyección oblicua anterior se apoya el lado afectado, de modo que: • OAI: Se visualiza el lado. WebLa razón más común para realizar una radiografía de la columna lumbar, es buscar la causa de lumbago. También ayuda en el diagnóstico de lesiones, enfermedades o infecciones. WebProyecciones de columna cervical, dorsal y lumbar - Clase Columna cervical, dorsal y lumbar Como - Studocu. Clase de proyecciones de radiografías cervicales, dorsales y.

WebProyección lumbar AP. INDICACIONES. puede padecer de diferentes patologías principalmente degenerativas, como lo son las hernias discales lumbares,,. WebMuestra los huesos o vértebras de la parte baja de la columna, que incluye la región lumbar y el sacro y el área que conecta la columna a la pelvis de manera oblicua del lado.

Rx Oblicua De Columna Lumbar. Rx Oblicua De Columna Lumbar, Proyección oblicua de columna lumbar, 3.43 MB, 02:30, 1,373, Fatima Het Rx, 2021-10-08T07:49:04.000000Z, 3, Rx oblicua de columna lumbar con pinzamiento y degeneración de las, www.researchgate.net, 689 x 1061, png, Webcomo estudiante mostrar el posicionamiento de Rx columna lumbar WebUna radiografía de la columna lumbosacra es una imagen de los pequeños huesos (vértebras) en la parte baja de la columna. Esta zona incluye la región lumbar y el. WebRAYOS X DE COLUMNA LUMBAR CON OBLICUAS Y DINÁMICAS. RAYOS X DE COLUMNA LUMBAR CON OBLICUAS Y DINÁMICAS. Mapa del sitio . Inicio; Quiénes., 20, rx-oblicua-de-columna-lumbar, Información Interesante

Related Topics

close